Grupo del Granate (Garnet Group)

NOMBRE: GRANATE (GRUPO)

FÓRMULA: A3B2(SiO4)3

con A=Mg, Fe, Mn, Ca y B=Al, Fe, Cr

SISTEMA: Cúbico

GRUPO: Ortosilicatos (neso)


FORMA: Formas automorfas (dodecaedros y trapezoedros), xenomorfas redondeadas o en masas irregulares, frecuentemente fracturados y con inclusiones

COLOR: Incoloro o ligeramente coloreado (crema-rosa, amarillo, verde o marrón)

PLEOCROÍSMO: No presenta

MACLAS: Solo visibles en granates con birrefringencia anómala (anisótropos) como sectores radiales que parten del centro del cristal

EXFOLIACIÓN: 

ÍNDICES DE REFRACCIÓN

    n: 1,714 - 1,890

     - 

     - 

RELIEVE: Alto + 

BIRREFRINGENCIA: 0   (ISÓTROPO)

COLOR DE INTERFERENCIA: 

ORIENTACIÓN: 

ELONGACIÓN: 

ÁNGULO DE EXTINCIÓN: 

SIGNO ÓPTICO: Isótropo


OTROS DATOS: Se altera a talco, serpentina y clorita. Las variedades del grupo ugrandita (grosularia, hidrogrosularia, andradita) pueden presentar birrefringencia anómala baja, con valores de de hasta 0,005

ASOCIACIÓN: Muy extendido. Rocas metamórficas (esquistos y gneises, eclogitas, skarns), como accesorio en rocas ígneas (pegmatitas y más raro en granitos)

Granate  en un esquisto (cuarzo, moscovita, turmalina, min. opacos)

Lado mayor de la imagen = 6.5 mm.

Misma zona, los polarizadores cruzados muetran el carácter isótropo del granate

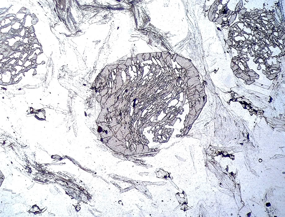
Grante con textura en “bola de nieve” en un esquisto (cuarzo, moscovita)

Lado mayor de la imagen = 4.1 mm.

Misma zona, con polarizadores cruzados.

Granate automorfo en una eclogita (cuarzo, glaucofana, epidota y rutilo).

Lado mayor de la imagen = 4.1 mm.

Misma zona, con polarizadores cruzados.

Granate (grosularia) en un skarn.

Lado mayor de la imagen = 10.2 mm.

Misma zona, con polarizadores cruzados se observa una anisotropía anómala y la presencia de maclas sectoriales.